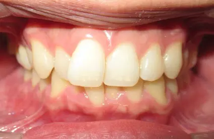
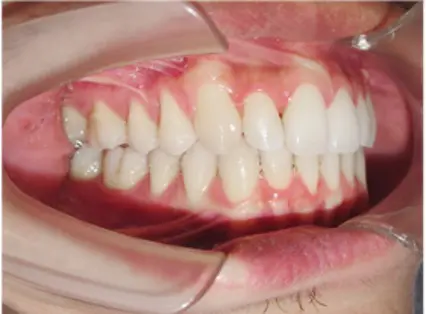
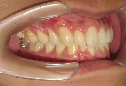
隱適美(沒拔牙) / 吳先生

矯正年齡:23歲
矯正時間:107/02-109/04 (2年2個月)
矯正原因:排列不整齊,門牙歪一邊

Before

case before吳先生1
case before吳先生2
case before吳先生3
case before吳先生4

After

case after吳先生1
case after吳先生2
case after吳先生3
case after吳先生4

最新訊息

門診公告|2026元旦休診公告

🎉【元旦休診公告|Happy New Year 2026】🎉

迎接嶄新的一年到來,
1/1(四)元旦
本診所配合國定假日 休診一日,
造成不便,敬請見諒。

也提醒有看診與諮詢需求的朋友,
請提前為自己與家人安排就診時間 🦷✨

感謝您在過去一年裡的信任與選擇,
每一次的託付、每一段治療歷程,
都是我們持續精進專業、用心守護的力量 💛

新的一年,
願您擁有 健康的笑容、穩定的睡眠、充滿希望的每一天,
讓美好,從齒列與生活一起展開 🌱

新年快樂🎆 Happy New Year

門診公告|2025聖誕節門診安排

🎄聖誕節休診公告🎄
📅 12/25(聖誕節)休診一日
在這個充滿祝福與感謝的季節裡,
我們也想按下忙碌的步調,
陪伴家人、充電身心,迎接嶄新的開始。

謝謝這一年來各個家庭對我們的信任與支持,
每一次的信任、每一段治療旅程,
都是我們持續用心的動力 💛

願這個聖誕節,
能讓我們所有的家庭在愛與溫暖中持續發熱 🎁✨

🌟 歲末諮詢月|📣『矯正』&『止鼾』諮詢 0 負擔

上誠齒顎矯正中心【歲末諮詢月】正式開跑 📣
讓你在沒有壓力的情況下,了解真正適合自己的治療選擇。

🦷 牙齒矯正諮詢
不是只看排不排整齊,
而是關係到咬合、臉型、長期口腔健康。

😴 止鼾 / 睡眠呼吸障礙諮詢
打呼不是小事,
它影響的不只是睡眠,
還包括白天精神、專注力,甚至伴侶關係。